Dentisterie esthétique : Prothèses dentaires | Prothèse céramo- métallique


La prothèse : c'est la partie de la dentisterie qui s'occupe essentiellement de remplacer les dents absentes. Une prothèse fixe reconstitue la dent au plus proche de l'état naturel.

Matériaux : Les prothèses fixes peuvent être : -métalliques -céramo-métallliques -tout Céramique. La céramique est de plus en plus utilisée. Les propriétés mécaniques continuent de s'améliorer.

Avantage : Esthétique. Bonne biocompatibilité.

Inconvénients : prix. La céramique peut être utilisée associée à du métal : couronne céramo-métallique (CCM).

1er cas : Bridge céramique antérieur conventionnel

M. LEONEL, 53 ans, France
Motif de consultation : porteur d’une prothèse mobile supérieur depuis 10 ans souhaitant une solution fixée implantaire
Solutions :
  • Os insuffisant, contre indication d’implant dentaire.
  • Patient refuse la greffe osseuse en plus les dents antérieures sont cariées et colorées
Fin de traitement : 7 jours
Photo avant la pose du bridge céramique antérieur conventionnel
Photo de réalisation du bridge céramique antérieur conventionnel
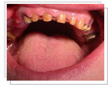
Avant : Absence de la 12,11 et de la 22
Après : Réalisation du bridge céramique Fixe de 6 éléments
Photo du fin de traitement: Bridge céramique antérieur conventionnel
Fin de traitement


2ème cas : Bridge céramique complet supérieur

Mme L .F, 48 ans, Tunisie
Motif de consultation : réalisation d’un bridge sur dents naturelles.
Solution : Bridge céramique complet supérieur
Photo avant la pose du bridge céramique complet supérieur
Photo après la pose du bridge céramique complet supérieur
Avant
Après
Vue de profil après la pose du bridge céramique complet supérieur
Vue de face avant la pose du bridge céramique complet supérieur
Vue de profil
Vue de face

3ème cas : Bridge fixe supérieur conventionnel

Mme H.A, 78 ans, France
Motif de consultation : esthétique et fonctionnel
Solution : Bridge fixe supérieur conventionnel
Photo avant la mise en place du bridge fixe supérieur conventionnel
Photo après la mise en place du bridge fixe supérieur conventionnel
Avant : Rides accentues, absence de soutient labial
Après
Photo avant la pose du bridge fixe supérieur conventionnel
Photo après la pose du bridge fixe supérieur conventionnel
Avant
Après

4ème cas : Prothèse céramique sur dent naturelle

M. P.J, France
Motif de consultation : esthétique et fonctionnel
Solution : nouveau bridge céramique complet supérieur. Pose des 4 implants inférieurs et bridge céramique de 12 éléments.
Fin de traitement :
  • 1er séjour : pose des implants
  • 2ème séjour après 3 mois : réalisation de 2 bridges totaux céramiques de 24 éléments.
Photo avant l'intervention de la prothèse céramique sur dent naturelle
Photo après l'intervention de la prothèse céramique sur dent naturelle
Avant
Après
Pour plus de détails : attention photos techniques

5ème cas : Bridge céramique supérieur complet

Mme F.R, 45 ans, France
Motif de consultation : prothèse céramique ancienne inesthétique et non adaptée
Solution : déposé des anciennes prothèses et réalisation d’un bridge supérieur céramique fixe
Fin de traitement : 8 jours
Photo avant  la pose du bridge céramique supérieur complet
Photo avant  la pose du bridge céramique supérieur complet
Avant
Après
Pour plus de détails : attention photos techniques





Accueil | Infos utiles | Votre séjour en Tunisie | Première consultation | Patients étrangers : Démarche à suivre | Contact avec votre dentiste | votre séjour | Organisation du séjour | Suivi après les implants | Devis personnalisé | Remboursements | Nouveaux cas | Cas complexes | Dentisterie esthétique : Obturation esthétique | Blanchiment dentaire | Prothèses dentaires | Prothèse céramo- métallique | Prothèse céramo - céramique | Facette céramique | Prothèse amovible | Implantologie : Greffe osseuse | Implantologie conventionnelle | Implant dentaire non invasif | Implant dentaire immédiat | Implant dentaire avec mise en esthétique immédiate | Implant dentaire avec mise en charge immédiate | Notre équipe : Notre conception | Encadrement médical | Enseignement | Nos partenaires à l'étranger