Implantologie : Greffe osseuse

Définition : La greffe osseuse sous sinusienne permet d'élever le bas-fond sinusien et de créer un volume osseux favorable pour la mise en place des implants dentaires.
La greffe osseuse consiste à transplanter de l’os prélevé sur le patient lui-même.

Définition de PRF : Le PRF s'obtient à partir de votre propre sang qui est prélevé au cabinet juste avant la chirurgie implantaire.
Le sang prélevé est immédiatement introduit dans une centrifugeuse au sein même du cabinet.
Ce traitement va permettre de séparer le sérum des plaquettes et fibrine.

1er cas : greffe osseuse pré - implantaire et PRF pré - prothétique

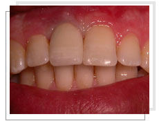
Mme A. T, 28 ans, Enseignante, Tunisie
Motif de consultation : porteuse d’une prothèse provisoire mobile au niveau de la 11. Elle cherche une solution fixée sans toucher les dents naturelles.
Solution : greffe osseuse et implant dentaire
- greffe osseuse
- après 6 mois pose de l’implant dentaire
- après 6 mois vis de cicatrisation et PRF
- après 21 jours fixation définitive de la couronne céramique
Fin de traitement : La couronne céramique sera réalisée après 6 mois.
Photo avant l'opération de la greffe osseuse et la pose de l'implant dentaire
Photo après l'opération de la greffe osseuse, après 6 mois pose de l’implant dentaire, la couronne céramique sera réalisée dans les 6 mois d'après
Avant
Après

2ème cas : Greffe gingivale OU PRF

Définition : La greffe de gencive nécessitera généralement un site donneur le palais postérieur, il y aura donc deux sites chirurgicaux l’un donneur le deuxième receveur, la couleur du greffon diffère du celle du site receveur donc un inconvénient esthétique.

M. A.D, 25 ans, Tunisie
Greffon au dessus de l’incisive latérale
Greffon au dessus de la canine

3ème cas : Greffe osseuse et implants totales au niveau supérieur

Melle. V.Z, 35 ans, France
Motif de consultation :
- Porteuse d’une prothèse mobile supérieure inconfortable
- Cherchant une solution fixée implantaire définitive
Solution : après scanner et examen clinique minitieux
Double greffe osseuse supérieure pré - implantaire droite et gauche l’épaisseur osseuse était insuffisante pour poser des implants dentaires.
Photo avant l'intervention de la greffe osseuse
Photo après l'intervention de la greffe osseuse et implants total supérieur: rétablissement immédiat de la position de la lèvre supérieure
Avant la greffe osseuse
Après la greffe osseuse Rétablissement immédiat de la position de la lèvre supérieure
Pour plus de détails attention photos techniques

4ème cas : Greffe osseuse pré implantaire antérieure

M. R.Z, 28 ans, Cadre, Tunisie
Motif de consultation :
- Absence de l’incisive centrale
- Porteur d’une prothèse partielle mobile
- Cherchant une solution fixée sans toucher les dents seines
Solution : - Couronne céramique sur implant.
- Après examen minutieux et scanner la greffe osseuse était obligatoire
- Greffe osseuse réalisée.
- Apres 6 mois pose de l’implant dentaire.
- La couronne céramique sera réalisée après 6 mois.
 Photo avant la réalisation de la greffe osseuse pré implantaire antérieure: absence de l’incisive centrale
Photo après la réalisation de la greffe osseuse pré implantaire antérieure: apres 6 mois pose de l’implant dentaire et la couronne céramique sera réalisée dans les 6 mois d'après
Avant
Après
Photo avant la greffe osseuse: prothèse provisoire mobile
Photo après la greffe osseuse: l'épaisseur de la crête endentée
Avant la greffe osseuse : Prothèse provisoire mobile.
Epaisseur de la crête Edentée
Après la greffe osseuse
Photo de la radio panoramique dentaire: l'épaisseur osseuse est insuffisante
Photo de la radio panoramique dentaire: l'épaisseur osseuse est assez favorable après la fixation de la greffe osseuse  par un mini-vis
Epaisseur osseuse Insuffisante.
Greffe osseuse fixée par un mini - vis Epaisseur osseuse assez favorable.
Pour plus de détails attention photos techniques


5ème cas : Triple greffe osseuse et pose de 6 implants dentaires

Mme E.J, 75 ans, France
Motif de consultation : édentement total au niveau supérieur et prothèse totale mobile instable, absence de soutien labiale, accentuation des rides souhaitant une solution fixe, esthétique et fonctionnel.
Solution : Bridge céramique complet de 12 éléments céramiques sur 6 implants. Le scanner a révélé des défaillances osseuses, une triple greffe osseuse à l’aide du PRF, bio os et l’os de la patiente étaient obligatoire lors de la pose des implants.
Fin de traitement : après 6 mois
Photo avant l'opération de la triple greffe osseuse et pose de 6 implants dentaires: édentement total supérieur
Photo après l'opération de la triple greffe osseuse et pose de 6 implants dentaires: bridge céramique complet
Avant : Absence totale des dents supérieures
Après : 4 a 6 mois : Bridge céramique complet esthétique et fonctionnelle
Pour plus de détails attention photos techniques






Accueil | Infos utiles | Votre séjour en Tunisie | Première consultation | Patients étrangers : Démarche à suivre | Contact avec votre dentiste | votre séjour | Organisation du séjour | Suivi après les implants | Devis personnalisé | Remboursements | Nouveaux cas | Cas complexes | Dentisterie esthétique : Obturation esthétique | Blanchiment dentaire | Prothèses dentaires | Prothèse céramo- métallique | Prothèse céramo - céramique | Facette céramique | Prothèse amovible | Implantologie : Greffe osseuse | Implantologie conventionnelle | Implant dentaire non invasif | Implant dentaire immédiat | Implant dentaire avec mise en esthétique immédiate | Implant dentaire avec mise en charge immédiate | Notre équipe : Notre conception | Encadrement médical | Enseignement | Nos partenaires à l'étranger