9ème cas : Extractions de toutes les dents inférieures et implantation immédiate |
|
![]() Des dents mobiles et déchaussées au niveau inférieur |
![]() Extractions des dents restantes |
Bridge provisoire fixe (réalisé immédiatement après la pose des implants) |
Cicatrisation de la gencive |
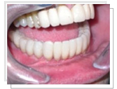
Fin de traitement bridge céramique complet fixé sur Les implants |
|